Sunday - Saturday, 10am to 8pm
Call us now (02425) 224973, +91 9423413181
Home
About
Treatments
Gallery
Contact
Treatments
VIEW
OCULOPLASTY
ऑक्लोकप्लास्टी
VIEW
Contact Lens & Low Vision Aids
अल्प दृष्टी
VIEW
Squint & Pediatric Opthalomology
बालरोगतज्ञ नेत्र रोग विशेषज्ञ
VIEW
Glaucoma
काचबिंदू
VIEW
Vitreo-Retina
रेटिनासंबंधी
VIEW
Keratoconus
केराटोकोनस
VIEW
Corneal Disease
डोळ्याच्या बाहुलीचा पारदर्शक पडदा
VIEW
LASIK Surgery
लेसिक सर्जरी
VIEW
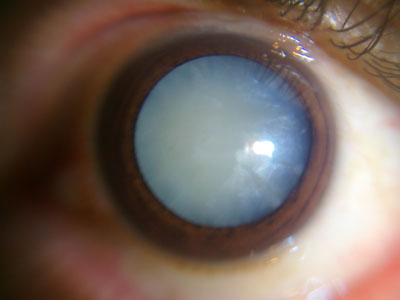
Cataract
मोतीबिंदू